4 September 2025

Wisdom Tooth Extraction: What to Expect Before, During & After

Dr Sharon Millist thumbnail image

Dr Sharon Millist

Resource banner image

Wisdom tooth extraction is one of the most common dental procedures, and for many people, it’s a milestone in their oral health journey. Whether your wisdom teeth are causing discomfort, crowding, or are at risk of infection, removing them can help protect your long-term dental health.

At Renew Dental Lounge in Upper Mount Gravatt, we understand that the idea of oral surgery can feel daunting. That’s why we take the time to explain every step of the process, from your first consultation through to full recovery, so you can feel calm, informed, and confident about your care.

Step 1: Preparing for Wisdom Tooth Extraction

Your Initial Consultation

Your journey begins with a thorough consultation. During this appointment, we will:

  • Review your dental and medical history.
  • Take X-rays to understand the position of your wisdom teeth.
  • Discuss whether extraction is the best option for your unique situation.

This is your chance to ask questions, express concerns, and understand the recommended treatment plan.

Anaesthesia Options

Not every wisdom tooth extraction is the same, and neither is every patient. Depending on your needs, we’ll discuss the best option for you:

  • Local anaesthetic – Numbs the area; you remain awake but pain-free.
  • Nitrous Oxide ("happy gas") - a safe and effective way to manage dental anxiety.
  • Sedation (IV sedation or “twilight sleep”) – Helps you feel deeply relaxed with little memory of the procedure.
  • General anaesthetic – Recommended for complex cases; you’ll be completely asleep.

Together, we’ll choose the approach that ensures your comfort and peace of mind.

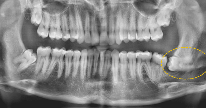
wisdom tooth surgical extraction.png

Wisdom tooth extraction presents a range of complexities. Lower wisdom teeth in particular can be close to major nerves or buried in the jaw bone. Difficult extractions can be referred to specialist Oral Surgeons and performed under general anaesthetic.

Step 2: The Day of the Procedure

Fasting and Eating

If you’re having general anaesthetic, fasting for several hours before surgery is essential.

If you’re having a local anaesthetic only, we recommend a light meal beforehand.

What Happens During Extraction

The length of the procedure depends on how many wisdom teeth are being removed and how complex their position is. Typically, the dentist will:

  • Numb the area or administer sedation.
  • Gently open the gum tissue if needed.
  • Remove the tooth in one piece or in sections.
  • Place dissolvable stitches if necessary.
  • Most extractions take between 30–60 minutes.

Step 3: Recovery & Aftercare

Once the procedure is complete, the healing process begins. Here’s what you can expect.

Immediately After Surgery
  • Mild bleeding is normal. You’ll bite gently on gauze to help form a blood clot.
  • Rest is key — arrange for a family member or friend to drive you home.
  • Avoid smoking, drinking through straws, or rinsing vigorously in the early hours, as this may dislodge the clot.
Wisdom Tooth Recovery Timeline
Day 1 (Surgery Day)
  • Expect some bleeding and swelling.
  • Rest and keep your head elevated.
  • Stick to soft, cold foods such as yoghurt, smoothies, or ice cream.
Day 2–3
  • Swelling and discomfort often peak.
  • Use cold compresses in 20-minute intervals.
  • Take prescribed or over-the-counter pain relief as advised.
  • Begin gentle saltwater rinses after meals.
Day 4–5
  • Swelling should begin to reduce.
  • Pain levels usually improve.
  • Soft foods such as scrambled eggs, pasta, and mashed vegetables can be reintroduced.
Day 6–7
  • Most patients feel more comfortable returning to daily routines.
  • Mild jaw stiffness may persist.
  • If stitches were placed, they may dissolve or be removed around this time.
Week 2
  • Most patients return to normal eating habits.
  • Tenderness is minimal.
  • Keep an eye out for unusual symptoms such as pus, fever, or persistent pain.
Beyond Week 2
  • Gum tissue continues to heal, and bone underneath rebuilds over the following months.
Potential Complications to Watch For
  • Dry Socket – Sharp, radiating pain 3–5 days post-surgery can signal a dislodged blood clot. This requires treatment by your dentist.
  • Infection – Look for persistent swelling, fever, or discharge. Prompt treatment with antibiotics is usually effective.
Tips for a Smooth Recovery
  • Brush and floss the rest of your teeth carefully, avoiding the surgical site.
  • Stay hydrated with water — avoid alcohol and fizzy drinks.
  • Sleep slightly propped up in the first few nights to minimise swelling.

With the right care, recovery is usually smooth, and most people are surprised at how quickly they’re back to normal.

Step 4: Long-Term Oral Care

Wisdom tooth removal is about more than just eliminating immediate pain or crowding — it’s about protecting your long-term oral health. Without impacted wisdom teeth pushing on your gums or neighbouring teeth, you’ll reduce your risk of infections, decay, and misalignment in the future.

At Renew Dental Lounge, we’ll continue to monitor your healing at follow-up appointments and provide personalised guidance on maintaining your oral health.

FAQs About Wisdom Tooth Extraction

1. Is wisdom tooth extraction painful?

Not at all during the procedure. Anaesthesia ensures you won’t feel pain, though you may experience pressure. Discomfort afterward is manageable with medication and rest.

2. How long does it take to recover?

Most people feel much better within a week, though full gum and bone healing takes longer. By day 7, many patients return to normal routines.

3. What can I eat after surgery?

Soft, cool foods are best at first — yoghurt, smoothies, mashed vegetables, and scrambled eggs. Gradually reintroduce firmer foods as your comfort improves.

4. Can I go back to work or school after extraction?

We recommend taking 2–3 days off to rest. By the end of the first week, most people feel ready to return.

5. Do all wisdom teeth need to be removed?

Not always. If wisdom teeth are healthy, positioned correctly, and not causing problems, they may not need removal. Your dentist will advise based on X-rays and oral health.

Book an appointment today

At Renew Dental Lounge in Upper Mount Gravatt, we're redefining what it feels like to visit the dentist. If you're searching for a dentist in Mt Gravatt, we're here to help you feel at home in your smile. From gentle family dental check-ups, emergency dentist treatment, through to cosmetic dentistry like teeth whitening, veneers and dental implants, every visit is built on trust, compassion and excellence.

Patients looking for a dentist in Brisbane southside (Upper Mt Gravatt, Mount Gravatt, Mansfield and Mount Gravatt East) choose us for our spa-like environment, advanced technology and human-centred care that eases anxiety and transforms confidence. No matter where you're starting from, we'll meet you exactly where you are, supporting you with clear advice and personalised treatment options. Book an appointment today.

Book now